Estética y Prótesis

Estética dental y prótesis ó Estetica y Función masticatoria es nuestro objetivo.

Nuestros pacientes según la legislación vigente, disponen de las prótesis fijas, soportadas sobre dientes e implantes o bien de prótesis removibles según su necesidad.

Podemos proporcionar a los pacientes de nuestra clínica dental de Córdoba, en sus rehabilitaciones de la boca, materiales sin metal o con metales altamente biocompatibles. Aportando un equilibrio con todo el organismo, que nos permite mantener o reponer un estado de salud tanto psíquico como corporal.

Tenemos la especialidad de Médico Estomatólogo, Acreditación normativa de Médico Naturista y la formación académica de Protésico Dental. Además del grado de Doctor por la Universidad de Córdoba con la mención “Cum Laude”.

Disponemos para nuestros pacientes de la tecnología CEREC. Con impresiones digitales, planeamiento de reconstrucciones totalmente en cerámica y de rápida ejecución. Según las necesidades del paciente y la normativa sanitaria en vigor.

Nuestra formación en prótesis dental, nuestra experiencia como dentistas especializados en rehabilitación oral y disfunciones o dolor de las articulaciones temporomandibulares o ATM y orofacial, están avaladas por múltiples  comunicaciones en congresos nacionales e internacionales y publicaciones en las mejor revista de prótesis dental del mundo (Journal of Prothestic Dentistry o JPD) .  

Pasión por la estética dental y prótesis funcional y el resto del organismo.

clinica-dental-moreno-cabello-Estetica-y-protesis
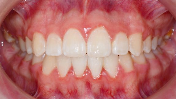
Antes del tratamiento
Disponemos para nuestros pacientes de la tecnología CEREC. Con impresiones digitales, planeamiento de reconstrucciones totalmente en cerámica y de rápida ejecución. Según las necesidades del paciente y la normativa sanitaria en vigor.
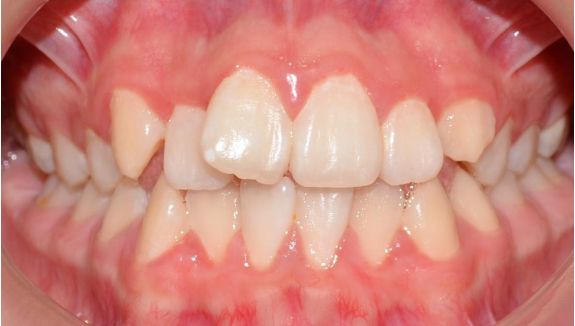
Después del tratamiento

Así como el objetivo de mejorar la salud de los pacientes nos ha llevado a la formación de profesionales de la salud dental desarrollando cursos para dentistas, higienistas y protésicos dentales. Y otros profesionales de la salud  también relacionados con la boca y sus funciones logopedas, psicólogos, osteópatas, neurólogos, otorrinos…

Podemos decir que somos especialistas en medicina y odontología integrativa, biológica por utilizar métodos totalmente fisiológicos para la prevención y el cuidado de nuestros pacientes.

No nos quedamos en la estética y la prótesis. Buscamos un objetivo superior en la Estética facial y el equilíbrio funcional de todo el cuerpo, ya que también se puede conseguir a través de la boca.

clinica-dental-moreno-cabello-logotipo

Este sitio web utiliza cookies para garantizar que obtenga la mejor experiencia en nuestro sitio web.